El corsé de Boston, un aliado para una espalda saludable

corse-boston-beneficios

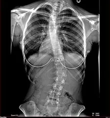
La escoliosis es una condición que se presenta en un gran número de personas alrededor del mundo. Se caracteriza por una curvatura anormal de la columna vertebral, lo que puede tener efectos negativos en la postura, la movilidad e incluso la función pulmonar en casos más graves. Afortunadamente, existen diversos tratamientos disponibles para abordar esta condición, y uno de los más comunes y efectivos es conocido como el Corsé de Boston. En el blog de hoyexplicaremos qué es el Corsé de Boston, cómo funciona y cuáles son sus beneficios en el tratamiento de la escoliosis.

¿Qué es el Corsé de Boston?

El corsé de Boston es un tipo de ortesis específicamente diseñada para tratar la escoliosis. Es un dispositivo médico que se ajusta alrededor del torso del paciente y proporciona un soporte externo que ayuda a controlar y reducir la progresión de la curvatura de la columna vertebral.

¿Cómo funciona?

El principal objetivo del corsé de Boston es aplicar una presión selectiva sobre la columna vertebral para corregir la curvatura anormal y mantener la alineación adecuada de la espalda. El corsé está hecho a medida y se ajusta individualmente a cada paciente, teniendo en cuenta la ubicación, la magnitud y el tipo de curva de escoliosis.

El Corsé de Boston se utiliza comúnmente en adolescentes que todavía están en crecimiento, ya que durante esta etapa el tratamiento es más efectivo.

Algunos beneficios del Corsé de Boston en el Tratamiento de la Escoliosis
  • Control de la progresión: es eficaz en detener o ralentizar la progresión de la curvatura de la columna vertebral en adolescentes en crecimiento.
  • No invasivo: a diferencia de la cirugía, es un tratamiento no invasivo que evita riesgos y tiempos de recuperación prolongados.
  • Aumento de la calidad de vida: al controlar la curvatura y evitar que empeore, el corsé ayuda a mantener la movilidad y la postura adecuada, mejorando así la calidad de vida del paciente.
Uso y Cuidado del Corsé de Boston

El éxito del tratamiento con el Corsé de Boston depende en gran medida del cumplimiento del paciente y el uso adecuado del dispositivo. Algunos consejos para el uso y cuidado del corsé incluyen:

  • Usar el corsé durante el tiempo recomendado por el médico.
  • Seguir las instrucciones del técnico sobre cómo colocar y ajustar el corsé.
  • Mantener una higiene adecuada para evitar problemas de piel.
  • Realizar actividades físicas adecuadas y recomendadas por el médico mientras se usa el corsé.
  • Asistir a todas las citas de seguimiento para ajustes y evaluaciones.

 El corsé de Boston es una perfecta opción en el tratamiento no invasivo de la escoliosis, especialmente en adolescentes en crecimiento. Su diseño personalizado y su capacidad para controlar la progresión de la curva lo convierten en una opción efectiva para mejorar la calidad de vida de los usuarios con escoliosis. Siempre es importante seguir las indicaciones médicas y mantener una actitud positiva durante el tratamiento para obtener los mejores resultados. Con el apoyo adecuado, el corsé de Boston puede ser una herramienta poderosa para mantener una espalda saludable y una vida activa.

Si tienes alguna pregunta sobre el Corsé de Boston o necesitas más información no dudes en escribirnos, estaremos encantados de atenderte.