¿Qué es la osteogénesis imperfecta?

que-es-osteogenesis-imperfecta

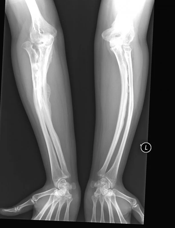
La osteogénesis imperfecta (OI) es un trastorno genético del tejido conectivo que afecta principalmente los huesos, causando fragilidad y susceptibilidad a fracturas. También se conoce comúnmente como «huesos de cristal». Esta enfermedad es causada por mutaciones genéticas que afectan la producción de colágeno, una proteína esencial para la fortaleza y elasticidad de los huesos.

Existen varios tipos de osteogénesis imperfecta, que varían en gravedad. Los síntomas comunes incluyen huesos frágiles y propensos a fracturas, deformidades óseas, dificultades en la movilidad, problemas de audición y otros problemas de tejidos conectivos como laxitud ligamentosa. La gravedad de la condición puede variar significativamente, incluso entre individuos afectados por la misma mutación.

 

 

El tratamiento de la osteogénesis imperfecta se centra en manejar los síntomas y prevenir fracturas. Esto puede incluir fisioterapia, medicamentos para fortalecer los huesos, y en algunos casos, cirugía ortopédica. El abordaje terapéutico puede adaptarse según la gravedad de la enfermedad y las necesidades específicas de cada individuo. Es importante trabajar con profesionales médicos especializados traumatología y ortopedia para un manejo integral de la osteogénesis imperfecta.

El calzado a medida es una consideración importante para las personas con osteogénesis imperfecta (OI), ya que un calzado adecuado ayuda considerablemente a mejorar la comodidad, la movilidad y la prevención de lesiones. Aquí hay algunas consideraciones específicas para el calzado a medida en personas con OI:

  1. Soporte y Estabilidad:
    • El calzado debe proporcionar un buen soporte para los pies y el tobillo para ayudar a prevenir caídas y lesiones.
    • Se pueden considerar plantillas ortopédicas personalizadas para mejorar la estabilidad y corregir posibles deformidades.
  2. Amortiguación:
    • Un calzado con buena amortiguación puede ayudar a absorber el impacto al caminar, reduciendo así la presión sobre los huesos y articulaciones.
  3. Adaptabilidad:
    • Los zapatos deben adaptarse bien al pie para evitar rozaduras y puntos de presión que puedan causar heridas o molestias.
  4. Cierre Ajustable:
    • Opta por calzado con cierres ajustables, como velcro, en lugar de cordones, para facilitar la colocación y ajuste del zapato.
  5. Material Flexible:
    • Elige materiales flexibles que se adapten a la forma del pie y eviten fricciones innecesarias.
  6. Peso Ligero:
    • Los zapatos livianos pueden facilitar el movimiento y reducir la fatiga.

      Consideraciones Estéticas:
      • Hoy en día el calzado a medida puede diseñarse con un diseño estético agradable, ya que esto ayuda en la aceptación y uso del mismo, especialmente en niños con OI. Eso sí, nunca descuidando las características funcionales que tiene que tener este calzado.

        Consultar con un Especialista:
        • Consulta con un especialista en ortopedia que tenga experiencia en trabajar con calzado a medida, ya que ofrecen recomendaciones personalizadas basadas en la condición específica de cada individuo, como en el caso de la osteogénesis imperfecta.